Livestock Research for Rural Development 31 (12) 2019 LRRD Misssion Guide for preparation of papers LRRD Newsletter

Citation of this paper

Efecto del suplemento de vinaza en indicadores reproductivos ligados al peso, morfométricos e histológicos del TGI, en cerdas lactantes

María C González Borlet, M J Acosta Yero1, Z Rodríguez Alonso2, L Hernández Labrada, R Bocourt Salabarría2 y M Santos González

Carrera Agronomía, Departamento de producción animal, Universidad de las Tunas. Calle 28 No. 33, D. postal 77300, Cuba
gonzalezborlet@gmail.com
1 Instituto de Investigaciones Porcinas. Cuba
2 Instituto de Ciencia Animal. Apartado postal 24. San José de las Lajas. Mayabeque. Cuba

Resumen

Con objetivo determinar el efecto de la vinaza, como suplemento de la dieta durante el último tercio de gestación y la lactancia, en indicadores reproductivos, morfométricos e histológicos del TGI, de cerdas de cuatro y cinco partos, en el experimento se emplearon 48 reproductoras Yorkshire x Landrace, según diseño completamente aleatorizado, distribuidas en cuatro tratamientos. Cada cerda constituyó una unidad experimental. Los tratamientos consistieron en cuatro niveles de inclusión de vinaza (0; 2,4; 3,4 y 4,6% (base seca). Se determinaron los indicadores físicos-químicos y microbiológicos de la vinaza; en las cerdas el peso de inicio, al parto y final de la lactancia; la morfométria del TGI y órganos vitales; e histología del duodeno e íleon. Se observó que el 4,6% de inclusión de vinaza provocó: mayor desarrollo del estómago e intestino grueso, las glándulas anexas así como de los órganos asociados a la respuesta inmune; y el incrementó de la longitud de las vellosidades intestinales y la profundidad de las criptas del intestino delgado. También mejoró la conversión alimentaria durante la gestación y redujo las pérdidas de peso durante la lactancia. Se concluye que incluir hasta 4.6% de vinaza como suplemento en la dieta de cerdas durante el último tercio de gestación y la lactancia mejora la capacidad digestiva y de los órganos asociados a la respuesta inmune.

Palabras clave: alimentación, ciclo reproductivo, órganos vitales, respuesta inmunológica


Effect of the vinegar supplement on reproductive indicators linked to weight, morphometric and histological TGI, in lactating sows

Abstract

The objective was to determine the effect of vinasse, as a supplement to the diet of 48 Yorkshire X Landrace sows during the last third of pregnancy and lactation, on reproductive, morphometric and histological indicators of the gastro-intestinal-tract. The experiment was a completely randomized design with four treatments. Each sow constituted an experimental unit. The treatments consisted of four levels of inclusion of vinasse (0; 2.4, 3.4 and 4.6% (dry basis). The physical-chemical and microbiological indicators of the vinasse were determined; and in the sows the live weight at the start, at parturition and weaning. The morphometry of the GIT and vital organs; and histology of the duodenum and ileum were determined. It was observed that 4.6% of vinasse in the diet caused: greater development of the stomach and large intestine, and the attached glands as well as of the organs associated with the immune response – which showed an increase in the length of the intestinal villi and the depth of the crypts of the small intestine. The vinasse also improved feed conversion during pregnancy and reduced the weight loss during lactation. It is concluded that including up to 4.6% of vinasse as a supplement in the sow diet during the last third of pregnancy and lactation improves the digestive capacity and the organs associated with the immune response.

Keywords: imune response, reproductive cycle, sugar cane, vital organs


Introducción

La caña de azúcar, a partir de la producción de alcohol, genera un residuo denominado vinaza, que, al ser vertido, se convierte en contamínante del medio ambiente (Santos et al 2014). Las vinazas presentan ácidos orgánicos, levaduras, vitaminas y minerales (Hidalgo et al 2009a). Este residuo, por las características físico-químicas que presenta, muestra potencialidades para usarse en la alimentación animal (Scull et al 2012). Hidalgo (2011) demostró que la composición de las vinazas concentradas de la fábrica de ron Habana Club Internacional, admite su utilización como aditivo en la alimentación animal.

Rosentrater (2006) plantea que el empleo de la vinaza en la alimentación animal incrementa la resistencia al estrés y actúa como estimulante de la respuesta inmune de tipo innata. Estudios realizados en el Instituto de Ciencia Animal (ICA) generaron alternativas tecnológicas para la producción de animales jóvenes con el empleo de este desecho de las destilerías de alcohol (Martínez et al 2010) y como aditivo en cerdos (Hidalgo 2017). Su empleo disminuyó los costos de alimentación y permitió mayor eficiencia productiva.

En la empresa porcina de la provincia Las Tunas, existe una tendencia a la disminución de los parámetros reproductivos, productivos y biológicos de las cerdas, debido a insuficiencias en nutrientes proteicas y energéticas en la alimentación. También la variabilidad en la composición nutritiva de los alimentos, durante el período de lactación, ha afectado la salud intestinal de la cerda y la presencia de trastornos entéricos en la descendencia, que ha repercutido en la eficiencia de la producción porcina especializada.

En este territorio existen dos plantas destiladoras que producen por cada hectolitro de alcohol, 1,6 a 1,8 m3 de vinaza. Su empleo en la alimentación de cerdas sería una posible solución sostenible a la problemática alimentaria existente en esta provincia, con posibilidad de elevar el valor económico del subproducto y reducir el impacto negativo al medio ambiente.

Este trabajo tenía como objetivo determinar los efectos de la vinaza, como suplemento de la dieta, durante el último tercio de gestación y la lactancia, y en indicadores morfométricos e histológicos del TGI y su repercusión en los indicadores reproductivos, de cerdas de cuatro y cinco partos.


Materiales y métodos

Se empleó vinaza procedente de la Destilería “Antonio Guiteras Holmes” ubicada en el municipio Puerto Padre, al norte de la provincia de Las Tunas. En el estudio de comportamiento reproductivo se utilizaron un total de 240 cerdas gestantes Yorkshire x Landrace, como línea materna terminal. Los pesos de inicio estuvieron entre 151 y 185kg y se homogenizaron entre los grupos experimentales. Los animales se alojaron en jaulas individuales según un diseño de bloques al azar con cuatro tratamientos (niveles de vinaza de 0, 2.4, 3.4 y 4.6% base seca de la dieta). Para las medidas morfométricas se utilizaron 48 reproductoras seleccionadas al azar, 12 por cada tratamiento. Cada cerda constituyó una unidad experimental. El sistema de alimentación fue diferenciado para cerdas gestadas de 13-16 semanas (Tabla 1) y para las lactantes (Tabla 2). El pienso contenía: 15,8% de proteína bruta, 89,5% de materia seca, 9,7 MJ/kg de energía digestible.

Tabla 1. Sistema de alimentación para cerdas gestadas de 13-16 semanas

Alimento

Tratamientos (Vinaza) %

0

2.4

3.4

4.6

Vinaza, L/ día

0,0

1

1.5

2

Pienso, kg/día

3,0

3,0

3,0

3,0



Tabla 2. Sistema de alimentación para cerdas lactantes

Pienso
(kg/día)

Vinaza
(L/día)

Maternidad

2

1.2

Etapa de lactancia

1 día de parida

1

0.6

2 día de parida

2

1.2

3 día de parida

3

1.9

4 día de parida

4

2.5

5 día de parida

5

3.1

6 día de parida

6

3.7

7 día de parida

7

4.4

>7 día de parida

6

2.5

Para los análisis fisicoquímicos y microbiológicos de la vinaza, se seleccionan 62 muestras, conservadas en frascos de vidrio esterilizados a 4-8ºC, hasta su posterior análisis. La proteína bruta (PB) y cenizas, así como los minerales (macro y micro) se determinaron según los métodos de la AOAC (2016). La materia seca (MS), se determinó por el método de desecación propuesto en el Manual de fabricación de azúcar de caña (López 2011). La determinación de pH se realizó mediante un potenciómetro digital con electrodo de vidrio, con soluciones reguladoras de pH. Los grados Brix (ºBx): se midió con un refractómetro, marca Bellingham y Stanley Limited.

Las determinaciones de los ácidos grasos de cadena corta (AGCC) y NH 3 se realizaron por la metodología descrita por Phimmasan et al (2004). La acidez total se determinó según el método de Domínguez y Ly (1978). En el caso del ácido láctico se determinó por diferencia, al restar de la acidez total la concentración de AGCC. Para la determinación de azúcares reductores se utilizó la técnica descrita por Dubois et al (1956).

Los conteos de salmonella se realizaron según “NC 605/2008” y la NC “ISO 4832/2002”, para Escherichia coli y los Coliformes fecales. Para levaduras, hongos y Lactobacillus spp se utilizó la metodología descrita por el Departamento de Agricultura de Estados Unidos (United States Department of Agriculture [USDA 2008).

Morfometría

Se determinó: peso total de los órganos, capacidad del estómago, longitud del TGI (lleno y vacío), el ancho y grosor del duodeno y del ciego.

Histometría

Los estudios histométricos se determinaron en el Laboratorio Provincial del Instituto de Medicina Veterinaria (IMV), en Las Tunas usando muestras sólo del grupo control y el suplementado con 4,6% de inclusión de vinaza. Se tomaron muestras de duodeno e íleon (se muestreó el 10% del largo de cada porción). Para la determinación de la longitud de las vellosidades intestinales y profundidad de las criptas de Liberkun, se prepararon las muestras según la metodología propuesta por Fonseca (2012).

Análisis estadístico

Para los indicadores reproductivos, relacionados al peso, se empleó el modelo lineal general de clasificación simple según el paquete estadístico Infostat, versión 2,0 (Di Rienzo et al2011). Se ajustó como covariable el peso al inicio. En el caso de la morfométria e histometría, se realizó un análisis de varianza según diseño completamente aleatorizado. Las diferencias entre las medias se docimaron con la prueba de rangos múltiples (Duncan 1955).


Resultados y discusión

El pH de la vinaza (Tabla 3) se encontró en el rango planteado por Mariño (2012) en vinaza de esta destilería. Sin embargo, los valores resultaron más bajos que los planteados por Saura et al (2008) para las vinazas procedentes de melazas de caña de azúcar en otras destilerías cubanas y para la vinaza concentrada de la destilería Habana Club Internacional.

Al respecto, Hidalgo (2008) considera que durante la fermentación para la obtención del alcohol se generan, además de los ácidos grasos de cadena corta (AGCC), otros ácidos orgánicos, como el láctico, a los que se le atribuyen el nivel de acidez. El valor de pH depende de la cepa empleada y la eficiencia del proceso fermentativo. Según Ly (2008) este indicador se considera factor esencial en la inhibición del desarrollo microbiano, en especial de agentes patógenos (Callegari et al 2014). El examen físico-químico (Tabla 3) reveló valores de proteína bruta más bajos que los referidos por autores como Scull et al (2012) e Hidalgo (2017) al estudiar la vinaza concentrada proveniente de la Ronera Habana Club. Estos autores lo relacionan con presencia de levaduras en el residuo.

Los valores de cenizas se relacionan de forma directa con el contenido de MS. Los resultados obtenidos son inferiores a los encontrados por Iñiguez et al (1996) y Waliszewski et al (1997) con la vinaza concentrada de caña de azúcar, quienes informan 62,2% de materia seca y 19,12% de cenizas. Resultados similares obtuvo Concha (2006) en vinazas concentradas del Valle del Cauca (47,6 - 15,4%).

Tabla 3. Indicadores físicos-químicos de la vinaza diluida de la destilería “Antonio Guiteras Holmes”

Variable

U/M

Media

DE

Rango

Mín

Máx

Azucares reductores

%

6,40

1,52

8,51

10,6

MS

%

6,49

0,4

5,96

7,12

pH

4,31

0,3

3,96

5,12

NH3

mmol/100g MS

24,3

0,33

23,5

24,8

AGCC

mmol/100g MS

24,8

0,61

23,9

25,6

Ac. Láctico

mmol/100g MS

10,3

0,66

9,17

11,2

Acidez total

mmol100g MS

35,3

0,87

32,8

36,96

Proteína bruta

% de la MS

9,53

0,36

8,60

10,2

Ceniza

% de la MS

1,71

0,04

1,65

1,80

Fuente: laboratorio Instuto de InvestigaciónPorcina (2011) MS. Materia seca, pH. Potencial de hidrogeniones, NH3. Amoniaco, AGCC. Ácidos Grasos de cadena Corta, PB. Proteína bruta

Los minerales (Tabla 4 se corresponden con los informados para las vinazas de caña de azúcar en Cuba por Rodríguez (2010) y están implicados en las reacciones que ocurren a nivel intra y extra celular (Klein 2003).

Tabla 4. Composición mineral de la vinaza diluida de la Destilería “Antonio Guiteras Holmes”

Mínimo

Media

Máximo

DE

Fosforo %

0,37

0,04

1,52

0,32

Calcio %

0.70

2.68

5.10

1.93

Potasio %

1.24

1.65

2.15

0.35

Sodio %

0.03

0.10

0.23

0.07

Hierro ppm

228

695

1165

404

Fuente: laboratorio IIP

De Blas et al (2003) plantean que la evaluación microbiológica de los alimentos, permiten confirmar la calidad de los mismos y define su posible utilización. La no presencia de Coliformes y Salmonella (Tabla 5), garantiza la inocuidad para su uso como alimento. Los conteos de hongos y levaduras se corresponden con los establecidos en las especificaciones de calidad (ALIMPORT 2010).

Los conteos de microorganismo demuestran que la termólisis a que se somete el producto al final no fue totalmente efectiva y coinciden con lo obtenido por Hidalgo (2011) en las vinazas concentradas de la Habana Club Internacional. No obstante, las Saccharomyces vivas o muertas son portadoras de grandes cantidades de 1-3 β glucanos y oligo mánanos en su pared celular. Si ocurre lisis celular, estos compuestos se liberan al medio y pueden ejercer los efectos beneficiosos en el intestino como prebióticos.

La presencia de lactobacilos viables (Tabla 5) podría estar asociada a su resistencia a elevadas temperaturas. Estas especies también resisten condiciones de acidez, por lo que podrían actuar colonizando el tracto gastrointestinal, con mejora de la actividad digestiva por su aporte de enzimas y a la salud intestinal por estimulación del sistema inmunológico (Segura y De Bloss 2000). La acción conjunta de los componentes presentes en la vinaza pudieron estimular la producción de inmunoglobulinas, característico de la acción de los probióticos (Nava y Dávila 2004; Kanaminogawa y Nanno 2004).

La vinaza provocó incremento del peso del hígado y el corazón (Tabla 6), en los niveles empleados. Al parecer la inclusión de la vinaza favorece la irrigación sanguínea y mejora el transporte de nutrientes hacia los tejidos. El incremento de peso de los riñones pudiera asociarse a acumulación de grasa en las cavidades suprarrenales (Amanto 2015).

Tabla 5. Caracterización microbiológica de la vinaza de la Destilería “Antonio Guiteras Holmes”

Crecimientos microbianos

Salmonella

Ausentes

E. Coli

Negativo

Coliformes fecales

Ausentes

Lactobacillu Sp

5,58 x 105 ufc

Mohos:

< 10 ufc

Levaduras:viables

< 10 ufc

ufc. Unidades formadoras de colonias



Tabla 6. Comportamiento morfométrico de las vísceras de cerdas

Variable,
g kg PV 0,75

Tratamientos

EE

p

Control

2,4%

3,4%

4,6%

Vísceras rojas

1695a

1940b

1942b

1948b

39,85

0,001

Corazón

96,1a

98,6b

98,7b

99,0b

0.15

0,001

Riñones

99,8a

104a

105,4b

108c

0,65

0,001

Bazo

60,2a

60,8a

60,3a

64,9b

0,97

0,001

Hígado

1759a

2161b

2171b

2226b

52.21

0,001

abc letras diferentes en los superíndices de la misma fila indican diferencias a p < 0.05

Un comportamiento similar tuvo el Bazo, lo que pudo estar relacionado con el aporte de glucanos de la levaduras Saccharomyces cerevisiae. Di Luzio (1977) describió que estos polisacáridos provocan aumento en el peso y tamaño de los órganos del sistema retículo endotelial, entre ellos, el bazo. Por su parte, Perdigón et al (2000) plantearon que el bazo es el órgano periférico, donde se almacenan las células que intervienen en los procesos de defensa del organismo, previo a la maduración en los órganos centrales. Los resultados obtenidos sugieren que las cerdas tratadas con el mayor nivel de vinaza presentan mejor respuesta inmune y el mecanismo de inmunidad desencadenado fue mediado por anticuerpos.

Por su parte, Álvarez (2006) señala que el aumento de tamaño de los órganos se asocia a mejoras en el funcionamiento del proceso digestivo. Mientras que Callegari et al (2014) y Ayala (2014) plantean que la eubiosis intestinal, lograda con los aditivos probióticos, desaparecen los procesos inflamatorios en el yeyuno e íleon de los animales hospederos. Puede sea esta la causa, por la cual, no se modificaron los pesos del intestino delgado en el presente estudio.

La suplementación con vinaza produjo mejoras en la coloración y limpieza de los órganos de la cavidad torácica y abdominal (Fotos 1 y 2).

Foto 1. Cerda que no consume vinaza. Foto 2. Cerda que consume 4,6% vinaza
Fotos 1 y 2. Coloración y limpieza de los órganos de la cavidad torácica y abdominal

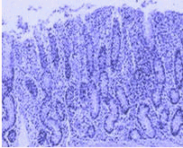
La inclusión de vinaza no provocó alteraciones relacionadas a procesos patológicos en la histología del intestino delgado. Se observa que el las cerdas suplementadas con 4,6% vinaza presentó mejor definición de las estructuras celulares (ancho y número de vellosidades) a nivel del duodeno (Fotos 3 y 4).

Foto 3. Cerdas control Foto 4. Cerdas con vinaza
Fotos 3 y 4. Cortes histológicos del duodeno de las cerdas

A la inspección visual de los cortes histológicos, la mucosa de las secciones intestinales (duodeno e íleon) en cerdas con vinaza mostraron membranas íntegras con vellosidades más largas y las criptas más profundas. Este aspecto se corroboró con las medidas de las células epiteliales de la mucosa (Tabla 7). Al respecto, Hampson (1986) refirió que los cambios en la altura de las vellosidades son por aumento del número de enterocitos que garantiza una mayor superficie de absorción. Ello está asociado a la disminución de la tasa de recambio celular desde el ápice de las vellosidades (Callegari 2014).

Los cambios histológicos, encontrados en las cerdas que consumieron vinaza, indican posible incremento de la acción digestiva y absortiva ya que en las criptas de Lieberkuhn se encuentran las células de Paneth; cuya función es segregar el jugo entérico, responsable de transformar los polipéptidos en aminoácidos libres, los disacáridos en monosacáridos, las grasas en glicerina y ácidos grasos (Guyton et al 2006).

Tabla 7. Efecto de la inclusión de vinaza en la dieta, en la lactancia, en la histometría de dos secciones del intestino delgado de las cerdas

Sección de TGI

Variables

Tratamientos

EE

p

Control

2,4%

3,4%

4,6%

Duodeno

Vellosidad (µm)

247a

268b

283c

343d

0,84

<0,001

Criptas(µm)

272a

280b

291c

330d

0,52

<0,001

Ileon

Vellosidad (µm)

269a

284b

290c

336d

1,13

<0,001

Cripta(µm)

252a

261b

272c

298d

0,46

<0,001

abcds letras diferentes en los superíndice de la misma fila indican diferencias p < 0.05

Si se considera que: (i) la única fuente de variación fue la inclusión de vinaza, que no realiza aportes importantes de nutrientes y que; (ii) las dietas empleadas cubrían los requerimientos para cerdas gestadas y lactantes (Instituto de Investigación Porcina 2016) superaron los requerimientos de proteína de la etapa de gestación en 40%; y que la ED se encontraba en el margen según NRC (1998). La causa de las respuestas productivas encontradas podría ser el resultado de la acción conjunta de: (i) los lactobacilos, y los residuos de su pared; (ii) la modificación del pH intestinal por acción de los AGCC (que propiciaron la selección de las especies microbianas a nivel intestinal); (iii) mayor eficiencia digestiva; (iv) , mejoras en la absorción de nutrientes (Gedek 2003) y; (v) estimulación del sistema inmune que le permitió expresar mejor su potencial reproductivo.

Tabla 8. Influencia de los niveles de vinaza sobre los indicadores reproductivos le las cerdas

Vinaza

EE

 p

Control

2,4%

3,4%

4,6%

Etapa de gestación

Peso inicio, kg

171a

173b

187c

187c

0,51

<0,001

Peso al parto, kg

181a

183b

197c

198c

0,54 <0,001

<0,001

GMD, g día

0,450a

0,460a

0,490ab

0,520b

0,02 <0,019

<0,019

CA. g MS/GMD

6,11b

5,81ab

5,58ab

<

0,21 <0,026

<0,026

Etapa de lactación

Peso posparto, kg

154a

155b

169c

172d

0,05 <0,001

<0,001

Peso salida, kg

150a

152b

167c

169d

0,51 <0,001

<0,001

Pérdida de peso, kg

(4,00)c

(2,93)a

(2,00)a

(3,00)b

0,03 <0,001

<0,001

Pérdida de peso, g día

(0,130)a

(0,090)b

(0,060)c

(0,100)d

0,01 <0,001

<0,001

abc letras distintas en la misma fila indican diferencias en p<0,05 GMD. Ganancia media diaria, CA.Conversión alimenticia, MS. Materia Seca

Resultados similares obtuvo Fonseca (2012) en cerdos en desarrollo, con el empleo de vinaza como aditivo. El asoció estas modificaciones a mejoras en la salud intestinal que conllevó a mejoras en el estado general de los animales y reducción de procesos diarreicos.


Conclusión


Referencias

ALIMPORT 2010 Especificaciones de calidad para la importación de DDGS en Cuba. Ediciones MINCEX. p10. www.tsp.gob.cu › sites › default › files › documentos › boletin-2010

Álvarez D A, Pérez H, Quincosa J, Cruz Martín T, de la Pompa A y López E 2006 Fisiología Animal Básica. 346 p. https://biblioteca.ihatuey.cu › link › libros › veterinaria › lfb

Amanto A F, Fernández Paggi, M B y Soraci A L 2015 Parto y neonatología. In: Williams, S. ed. Atlas de reproducción porcina. Intermédica, 8: 65-80.

Ayala L, Bocourt R, Castro M, Dihigo L E, Milián G and Herrera M 2014 Development of the digestive organs in piglets born from sows consuming probiotic before farrowing and during lactation. Cuban J. Agric. Sci 48 (2):133-136, 2014. - cjascience.com http://cjascience.com/index.php/CJAS/article/view/471

AOAC 2016 Official methods of analysis of AOAC International. 20th ed., Rockville, MD: AOAC International, ISBN: 978-0-935584-87-5. Available: http://www.directtextbook.com/isbn/9780935584875

Callegari A C 2014 Incremento del tamaño de las vellosidades en el intestino de los cerdos con Agracid S. Prueba Universtaria, Londrina University, Brasil. 2014. http://www Engormix.com - Publicado el: 24/10/2014. https://www.engormix.com › porcicultura › foros › incremento-tamano-vell...

Concha A M 2006 Estudio del proceso de producción y manejo ambiental de la planta de alcohol carburante del ingenio manuelita S.A. (Trabajo de grado para la carrera de Ingeniería ambiental). Universidad Nacional de Colombia, Palmira. https//www.iip.co.cu › RCPP

De Blas C, Mateos G y Rebolla P.2003 Tablas FEDNA de composición y valor nutritivo de alimentos para la formulación de piensos compuestos.2. a ed.Madrid: Editado Fundación Española para el Desarrollo de la Nutrición Animal,423 p. www.fundacionfedna.org › tablas-fedna-composicion-alimentos-valor-nutr.

Di Rienzo F, Casanoves M G, Balzarini L, Gonzalez M y TabladaC W 2011 Grupo InfoStat, FCA, Universidad Nacional de Córdoba, Argentina. http://www. infostat. com. Ar

Di Luzio N R 1977 Küpfer cells and other liver sinusoidal cells, Wise, E. & Knoch, D.L. (eds). Elsevier/North-Holl and Biomedical Press, Amsterdam. 397 p. https://www.sciencedirect.com/science/article/abs/pii/0022532072900895

Domínguez P L y LyJ 1978 Algunas características fermentativas de cítricos ensilados con distintas proporciones de miel final de caña. Revista Ciencia y Técnica en la Agricultura. Serie Ganado Porcino. 1(3) 25-38. https://www.google.com/url?iip.co.cu%2FRCPP%2Fant%2FRCPP2.2.pdf

Dubois M, Pilles K, Hamilton J K, Rebers P A and Smith F 1956 Colorimetric methotd for the determination of sugars and related substances. Anal Chem, 28(3): 350. https://doi.org/10.1021/ac60111a017

Duncan D B 1955 Multiple range and multiple F tests. Biometrics 11:1. DOI: 10.2307/3001478 https://www.jstor.org/stable/3001478

Fonseca G 2012 La Vinaza de destilería como aditivo en la alimentación de cerdos de preceba. (Tesis en opción al grado científico de Máster en Producción Animal para la zona Tropical). Instituto de Ciencia Animal. La Habana. p 34-46. https://bmeditores.mx › nutricion-del-cerdo › alimentacion-pie-de-cria › us...

Gedek B 2003 Regulation of the intestinal flora through food. Zbl. Hyg. 191:272 https://www.ncbi.nlm.nih.gov › pubmed

Guyton A and Hall J 2006 Textbook of medical physiology. Pennsylvania. Elsevier Saunders. 20-32. https://www.researchgate.net › publication› 3304863

Hampson DJ 1986 Alterations in piglet small intestinal structure at weaning. Res Vet Sci, 40, 32-40. . https://www.sciencedirect.com/science/article/abs/pii/S003452881830482X

Hidalgo K, Bocourt R, Mora L y Albelo A 2017 Caracterización físico-química y microbiológica de la vinaza concentrada de destilería de alcohol. Cuban Journal of Agricultural Science, 51(4): 459. https://www.engormix.com › avicultura › articulos › caracterizacion-fisico

Hidalgo K 2011 Evaluación de la vinaza concentrada de destilería como aditivo en pollitas de reemplazo y gallinas ponedoras. (Tesis en opción al grado científico de Doctor en Ciencias Veterinarias). Instituto de Ciencia Animal. Cuba. 35-62p https://books.google.com › books › about

Hidalgo K, Savón L, Scull I, Lezcano P, García R and Rodriguez B 2009ª Vinasse in feed: Good for animal and environment. FeedTech, 13(55) ,18. https://www.allaboutfeed.net › Nutrition › Raw-Materials

Hidalgo K 2008 Seminario científico, Vinazas en la alimentación de animales monogastricos. Edit. National Academy, Cuba. p45- 48.

Iñiguez G, Franco M de J and López G 1996 Utilization of recovered solids form tequila industry vinasse as fodder feed. Elsevier Science Limited. Bioresource Technology, 55,151. https://www.sciencedirect.com/science/article/pii/0960852495001891

Instituto Investigación Porcina 2016 Manual de Buenas Prácticas para la producción Porcina en Cuba. Instituto de Investigaciones Porcinas. La Habana, 117 p. https://www. go.galegroup.com

Klein A 2003 Puntos críticos en el proceso de fabricación de raciones un abordaje práctico. Mesa Redonda. Memorias Cong Latinoam. Avic, 7 – 10 octubre. La Paz. Bolivia. 439.

Ly J 2008 Una aproximación a la fisiología de la digestión en cerdos criollos. Revista Computadorizada de Producción Porcina, 15:13-23. http://pigtrop.cirad.fr/index.php/ez_pigtrop_fr/content/download/6413/38205/file/151

Mariño S 2012 La Vinaza de destilería como aditivo en la alimentación de pollitas de inicio y reemplazo de ponedora. (Tesis en opción al grado científico de Master en Producción Animal para la zona tropical). Instituto de Ciencia Animal. https://scholar.google.com.cu/scholar?lookup=0&q=La+Vinaza+de+destiler

Martínez M S, Valdivié M, Rodríguez B, Hidalgo K y Martínez A 2010 Nuevas propiedades de la vinaza para las aves. III Congreso de Producción Animal Tropical. Ciudad Habana, Cuba. p214. https://dialnet.unirioja.es/servlet/articulo?codigo=3984254

Nava G M y Dávila M 2004 Nuevas perspectivas en la selección y evaluación de probióticos. Rev Chil Nutr 21:184. https://scielo.conicyt.cl/scielo.php?pid=S0717-75182004031100007&script=sci_arttext

NC (Norma Cubana) 605 2008 Microbiología de alimentos de consumo humano y animal. Guía general para la detección de salmonella. Método de rutina.

NC (Norma Cubana) 4832. 2002 Microbiología de alimentos de consume humano y animal. Guía general para la enumeración de coliformes. Técnica de placa vertida.

NRC 1988 National Research Counsil. Nutrient Requeriment of Swine. National Academy Press. Washington D.C. USA, 1988. 93 p.

López Ferrer F 2011 Manual de fabricación de azúcar de caña". http://dspace.uclv.edu.cu/bitstream/handle/123456789/2177.pdf?

Perdigón G, Nader de Macías M E, Roux M E and Pesce de Ruiz A A 2000 The oral administration of lactic acid bacteria increases the mucosal immunity in response to enteropathogens. J Food Prot, 58,404. https://jfoodprotection.org/doi/abs/10.4315/0362-028X-53.5.404

Phimmasan H, Pok S and Ly J 2004 A note on the estimation of metabolites in hard faeces of rabbits. Revista Computadorizada de Producción Porcina, 11(1):38-42. https://scholar.google.com.cu/scholar?A+note+on+the+estimation+of+metabolites

Rodríguez M 2010 Evaluación in vitro de la actividad antibacteriana del hidrolizado enzimático de levadura Saccharomyces cerevisiae. (Tesis de maestría). La Habana: Instituto de Ciencia Animal. 92 p. https://scholar.google.com.cu/scholar?=Evaluación+in+vitro+de+la+actividad+antibacterianapdf

Rosentrater K A 2006 Understanding Distiller’s grain Storage, Handling, and Flow Ability Challenges. Distiller’s Grains Quarterly. First Quarter, p18. https://www.ars.usda.gov/research/publications/publication/?seqNo115=190133

Saura G, Otero M A, Martínez J A, Garrido N y Pérez I 2008 Producción de levadura forrajera a partir de vinazas de destilería. Una solución ambiental. Memoria del Diver.p 341.

Santos S C, Rosa P R, Sakamoto I K, Amâncio Varesche M B and Silva E L 2014 Hydrogen production from diluted and raw sugarcane vinasse under thermophilic anaerobic conditions. International Journal of Hydrogen Energy. 39 (18): 9599-9610. https://www.sciencedirect.com/science/article/abs/pii/S0360319914011604

Segura A y De Bloss M 2000 La alternativa a los promotores del crecimiento. III Congreso Nacional de Avicultura. Memorias. Centro de Convenciones Plaza América. Varadero. Cuba. p. 37

Scull I, Savón L, Gutiérrez O, Valiño E, Orta I, Mora P O, Orta H, Ramos Y, Molineda A, Coto G and Noda A 2012 Physic-chemical composition of concentrated vinasse for their assessment in animal diets. Cuban Journal of Agricultural Science. 46 (4): 385-389. http://cjascience.com/index.php/CJAS/article/view/151

USDA 2008 (United States Department of Agriculture) & FSIS (Food Safety and Inspection Service) Detection, Isolation and Identification of Escherichia coli O157:H7 from Meat Products and Carcass and Environmental Sponges. USA:

Waliszewski K, Reta T y García J 1997 Valor nutritivo de las vinazas concentradas. Technología Agropecuaria, 2, 19


Received 20 July 2019; Accepted 3 November 2019; Published 2 December 2019

Go to top